Mánudaginn 6. janúar var fuglainfúensa staðfest í 10 vikna gömlum kettlingi. 

Eigandi kettlingsins hafði fengið hann frá Ísafirði þann 17. desember. Tveimur dögum eftir komuna suður veiktist kettlingurinn, vildi ekki éta og drakk lítið. Sjúkdómseinkenni ágerðust og þann 22. desember fór hann að fá krampa og drapst um eftirmiðdaginn. Móðir og systir kettlingsins höfðu veiktust fyrr í vikunnu, móðir drapst þann 20. desember og kettlingurinn daginn eftir.

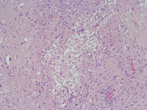
Komið var með kettlinginn í krufningu á Keldur eftir hádegi þann 23. desember og hann krufinn þann 27. desember. Við krufningu sáust engar augljósar breytingar annað en vessaþurrð og roði í heila, en vefjaskoðun í byrjun janúar leiddi í ljós alvarlega heila- og heilahimnubólgu og grunur um veirusýkingu vaknaði. Sýni úr heila voru rannsökuð með tilliti til fuglainflúensu með PCR-aðferð og lá jákvætt svar fyrir þann 6. janúar. Sýnið var sterkt jákvætt og innihélt mikið magn fuglainflúensuveiru af gerðinni H5N5 sem er sömu gerðar og veiran sem greinst hefur í villtum fuglum hérlendis í haust og á kalkúnabúi í byrjun desember 2024; sjá fréttatilkynningu á heimasíðu Keldna.

Fuglainflúensuveiran af gerðinni H5N5 hefur verið að greinast í villtum fuglum á norðurslóðum, en einnig í villtum spendýrum, nú síðast í gaupu í Noregi í lok síðasta árs. Þetta er í fyrsta sinn sem veiran af þessari gerð greinist í heimilisketti svo vitað sé.
Frekari upplýsingar má sjá á heimasíðu Matvælastofnunar.

P24-175_midbrain_lateral x 10
Share